Raja Park Jaipur
08048035327
+918005591784

Non-Union Surgery in Jaipur for Proper Bone Healing

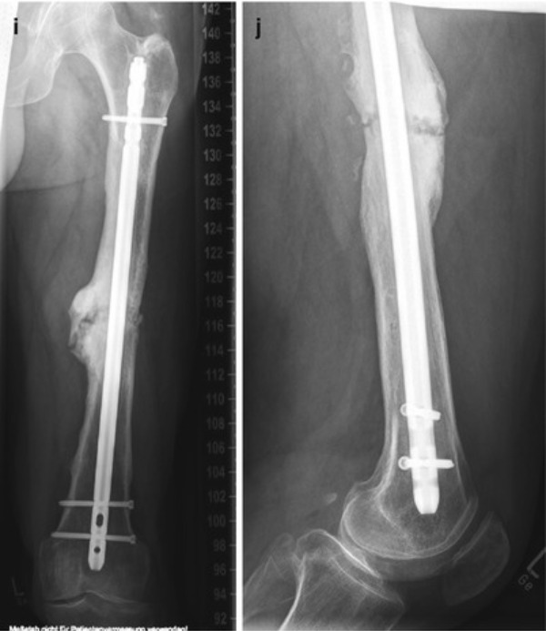
When a fractured bone fails to heal even after sufficient time, it is known as a non-union. Non-Union Surgery is designed to restore proper bone healing and stability through specialised orthopaedic intervention. At The Derma Joint Co in Jaipur, this condition is treated with a structured and patient-specific approach.

With the expertise of Dr. Vijay Pilaniya, non-union cases are carefully assessed to identify factors such as poor blood supply, infection, or inadequate fixation. Surgical treatment focuses on stabilising the bone, stimulating healing, and correcting previous complications that prevented recovery.

Advanced fixation techniques and biological support help encourage bone regeneration over time. With proper post-operative care and rehabilitation, patients can gradually regain strength and function.

Non-union surgery plays a critical role in restoring mobility and preventing long-term disability caused by unresolved fractures.

For reliable Non-Union Surgery in Jaipur, contact The Derma Joint Co and consult an experienced orthopaedic specialist.

 2026-01-22T07:29:02

Keywords