Raja Park Jaipur
08048035327
+918005591784

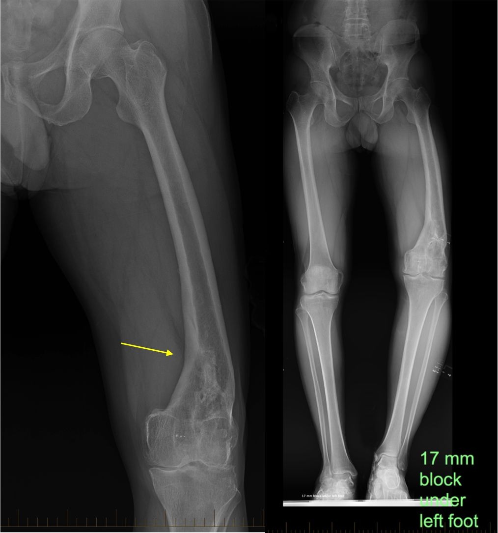
Mal-Union Surgery in Jaipur to Restore Bone Alignment

Improper healing of a fractured bone can lead to deformity, pain, and reduced function. Mal-Union Surgery focuses on correcting bone alignment to restore normal movement and balance. At The Derma Joint Co in Jaipur, this procedure is performed with precision to improve both function and comfort.

Led by Dr. Vijay Pilaniya, mal-union correction involves carefully re-aligning the bone and stabilising it using advanced surgical techniques. This correction helps relieve abnormal stress on joints and muscles, which can otherwise cause long-term discomfort.

Accurate planning and rehabilitation are essential to achieving successful outcomes. Patients often experience improved movement, reduced pain, and better posture after recovery.

Mal-union surgery is particularly beneficial for individuals experiencing difficulty in daily activities due to previous fracture complications.

For expert Mal-Union Surgery in Jaipur, reach out to The Derma Joint Co for a comprehensive orthopaedic consultation.

 2026-01-27T06:47:25

Keywords